
In-House Professional Nurses
Happy Patients
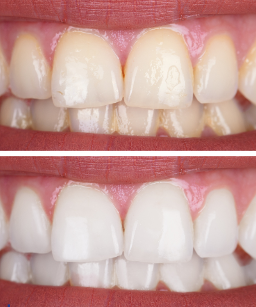
At Kalyani Hospital, Gurgaon, we offer deep cleaning treatments (scaling and root planing) to help patients manage gum disease, bleeding gums, and plaque buildup. Unlike routine cleaning, this procedure targets plaque, tartar, and bacteria below the gumline, effectively restoring gum health and preventing serious dental issues. The expert dental team employs advanced ultrasonic scalers and gentle techniques to ensure the procedure is both safe and comfortable. For those experiencing swollen gums, persistent bad breath, or recurring gum infections, deep cleaning can protect your teeth and significantly improve oral health.
While routine dental cleaning removes surface stains and plaque, deep cleaning targets bacterial buildup and hardened tartar (calculus) below the gum line, which regular brushing or standard cleaning cannot reach.
The procedure consists of two main steps:
Scaling: Dentists remove plaque and tartar from above and below the gum line.
Root Planing: Tooth roots are smoothed to help gums reattach and reduce pocket depth.
This treatment is particularly beneficial for patients showing early signs of gingivitis or periodontitis. By addressing the problem promptly, deep cleaning helps prevent further gum disease and protects long-term oral health.
Treats gum disease, including gingivitis and periodontitis.
Stops bleeding and reduces swollen gums.
Removes plaque and tartar buildup beneath the gum line.
Prevents tooth mobility and protects against bone loss.
Improves bad breath and enhances overall oral hygiene.
Promotes healthier and stronger gums for long-term dental health.
Reduces the risk of future dental infections and complications.
The procedure is safe and painless, ensuring patient comfort throughout.
It effectively stops bleeding gums and reduces infection.
Tooth loss is prevented by strengthening gum health and supporting surrounding structures.
Breath becomes fresher, promoting a healthier smile and improved confidence.
Provides long-lasting protection against gum disease when combined with proper oral care.
Helps prevent the progression of gingivitis into periodontitis, protecting overall oral health.
Enhances the effectiveness of regular oral hygiene routines, making brushing and flossing more efficient.
Encourages faster healing of inflamed or irritated gums after treatment.
During the examination, the dentist assesses your teeth and gum health.
Scaling removes tartar and plaque from above and below the gumline using ultrasonic instruments.
Root planing smooths the tooth roots, helping gums reattach securely to the teeth.
Antibacterial care may be applied in some cases to control infection effectively.
Polishing the teeth removes surface stains and leaves your smile looking clean and bright.
Fluoride application strengthens enamel and helps prevent cavities after deep cleaning.
Post-care advice guides patients on proper oral hygiene to maintain long-term gum health.
Follow-up appointments allow dentists to monitor healing and ensure the gums remain healthy.
People suffering from gum disease or frequent bleeding gums should seek treatment.
Patients experiencing persistent bad breath can benefit from professional care.
Smokers who have stained teeth or tartar buildup are advised to undergo cleaning.
Individuals with loose teeth or noticeable gum recession need evaluation and treatment.
Those who have missed regular dental checkups are at higher risk and should schedule a visit.
Our experienced dentists provide expert care for gum health.
We use ultrasonic scalers to ensure painless and effective cleaning.
Each patient receives a personalized treatment plan to maintain long-term gum health.
Our hygienic and advanced facilities support safe and comfortable procedures.
We offer affordable solutions that deliver lasting results for every patient.
No, the procedure is safe and painless. Mild sensitivity may occur, but it subsides quickly.
Regular cleaning removes plaque above the gumline, while deep cleaning removes plaque and tartar from below the gums and smoothens tooth roots.
It depends on gum health. Patients with gum disease may need it every 6–12 months.
Yes, by treating gum disease early, deep cleaning prevents bone loss and strengthens teeth support.
We will work with you to develop individualised care plans, including management of chronic diseases. If we cannot assist, we can provide referrals or advice about the type of practitioner you require. We treat all enquiries sensitively and in the strictest confidence.
At Kalyani Hospital, quality healthcare and patient safety are not just standards—we treat them as non-negotiable commitments.
More About UsAt Kalyani Hospital, urgent care never pauses; our 24×7 emergency team responds swiftly with skill and compassion.
Emergeny CallAt Kalyani Hospital, we believe that true healing happens when clinical excellence is delivered with genuine empathy.
Make Appointment






We deliver the highest quality care through state-of-the-art equipment, evidence-based protocols, and continuous staff training. From routine exams to advanced surgeries, our multidisciplinary team upholds rigorous safety and efficacy standards to achieve the best possible outcomes.

You guide your own care. We listen attentively, explain treatment options in clear terms, and involve you in every decision. Our seamless processes—from online appointment scheduling to follow-up—are designed to make your healthcare journey smooth, transparent, and stress-free.

We prioritize empathy in every interaction, treating you and your family with kindness, respect, and genuine concern from admission through recovery. Your emotional well-being is as important to us as your physical health, ensuring comfort and reassurance at every step.
We went to this Hospital as referred by ECHS, Dhundahera. There were many bad reviews about the staff behaviour in Google. But the experience was totally different here. The representatives at the ECHS counter were were helpful and polite.
Patient
I was treated under Dr. Akriti, Dr. P.K hasija and shekhar sir, for my tooth surgery, and I must say—they were absolutely amazing! From the moment I walked in, they made me feel comfortable and at ease.
Patient
We took our brother in emergency and on Sunday all available staff gave amazing response they did amazing job for our brother , didi citi scan in few minutes and referred to higher hospital immediately very quick ambulance service given by them...
Patient
Highly Recommend Dr. Rashmi Ma'am and Kalyani Hospital for Paediatric Care! I highly recommend Dr. Rashmi Ma'am as a paediatrician for newborns and kids in Kalyani Hospital. I have never encountered a doctor like her.
Patient